
“Nanoscale”(JCR一区,IF6.233)是发表纳米领域国际重大发现的知名刊物。近日,“Nanoscale”在线发表了医学院干细胞与再生医学研究所徐秀琴课题组的研究论文“Functional investigations on embryonic stem cells labeled with clinically translatable iron oxide nanoparticles”。
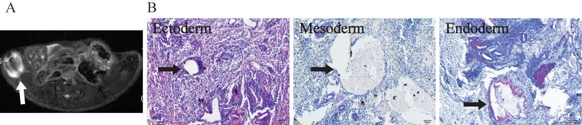
胚胎干细胞具有多向分化和自我更新能力,大量动物研究表明干细胞移植确实能改善心、脑和肝等器官功能。然而,目前尚缺乏一种有效手段用以评价干细胞移植后体内细胞的植入,分布和存活情况。课题组利用一种新型超顺磁性纳米氧化铁颗粒(Stearic-LWPEI-SPIO)标记胚胎干细胞。与同类研究相比,极低浓度的Stearic-LWPEI-SPIO就可以有效标记胚胎干细胞,并且不影响干细胞的自我更新,分化和增殖能力。进一步动物实验研究表明,干细胞移植体内后可以通过MRI观察到标记细胞的体内分布等情况,该研究提供了干细胞移植临床转化的体内示踪新方法,具有重要的学术和临床应用价值。
这项研究结合了生物医学,纳米材料及分子影像示踪技术,为干细胞临床应用提供了新视野。文章的第一作者为医学院的刘靖助理教授和公共卫生学院王丽琴,医学院徐秀琴教授和公共卫生学院刘刚教授为共同通讯作者。该项研究工作得到了国家科技部(973课题),国家自然科学基金委等的经费支持。
原文:http://pubs.rsc.org/en/content/articlelanding/2014/nr/c4nr01004c
(厦门大学医学院干细胞与再生医学研究所)